Découvrez ici quelques vues Avant/Après de patients que nous avons soignés au cabinet dentaire ABCD de Balma.
Les images présentés ici sont des exemples et chaque patient est unique.
Les docteurs Cadet et Lemagner ainsi que leur équipe sont à votre écoute pour vous conseiller vers le plan de traitement le plus adapté à votre situation clinique.
=> Faites glisser le curseur à droite puis à gauche afin de découvrir le sourire complet avant et après traitement dentaire.
Le patient présentait un déséquilibre masticatoire, des prothèses anciennes mal équilibrées et des dents manquantes et usées. Une réhabilitation globale a été réalisée (couronnes en céramiques et bridges)
La patiente présentait une usure prononcée de ses dents, ainsi que de nombreuses dents absentes. Des couronnes en céramiques ainsi qu'une prothèse amovible ont été réalisés.
Ce patient présentait des mobilités dentaires, des dents manquantes et une occlusion perturbée. Une reconstruction globale a été effectuée grâce à des implants dentaires, des couronnes et des bridges en céramique.
Madame N. présentait la particularité d'avoir une incisive surnuméraire et d'anciennes prothèses inesthétiques. Nous avons réalisés, en collaboration avec notre laboratoire de prothèses toulousain, une analyse esthétiques puis des couronnes en céramique.
Pour ce patient, qui présentait un mauvais état dentaire, nous avons réalisé un bridge complet sur implants dentaires.
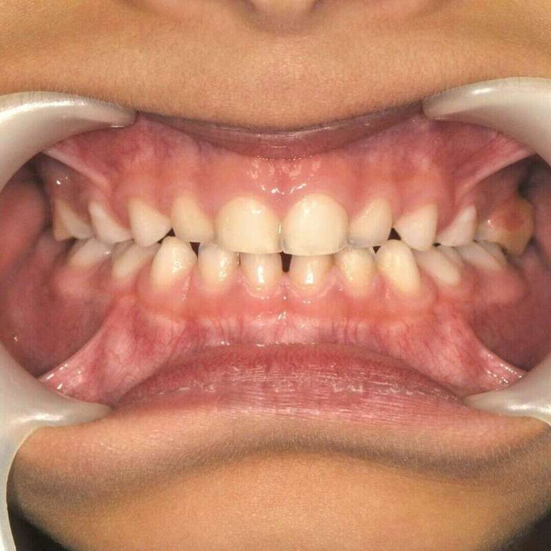
Chez ce petit patient de 5 ans, nous avons corrigé l'articulé inversé (problème d'emboitement des mâchoires) afin de permettre une croissance harmonieuse.
Gros changement de vie pour ce patient présentant un état dentaire très dégradé.
Nous avons réalisé des prothèses immédiates puis des prothèses d'usage quelques mois après (prothèse complète maxillaire et prothèse partielle mandibulaire).
Chez ce patient de 55 ans, une reconstruction globale alliant Orthodontie, Parodontologie, Arrêt du tabac, Soins, Prothèses et Chirurgies Implantaires.
Amélioration du sourire, de la santé générale et de la confiance en soi.
Cas d'une tache de l'émail sur l'incisive, traitée par infiltration de résine composite (ICON)
